Active Member
Franklin D. Richards, MD
Franklin D. Richards, MD, is an ASPS Member plastic surgeon who is board certified by The American Board of Plastic Surgery® and trained specifically in plastic surgery. ASPS members operate only in accredited medical facilities, adhere to a strict code of ethics and fulfill continuing medical education requirements in plastic surgery, including training in patient safety techniques. As your medical partner, Dr. Richards is dedicated to working with you to achieve your goals.
Schedule A Consultation
Special Notice
NaturalLift™ Facelift $18,500 (Total Cost)
Meet Dr. Franklin Richards
Your Consultation
Dr. Franklin D. Richards is available for consultations Monday through Friday 9:00 am to 5:00 pm. Dr. Richards and his competent staff want each of our patients to feel confident that their comfort and wellbeing are utmost priorities before, during and after their procedures.
Facilities
Most procedures performed in our AAAAPSF certified operating suites of Cosmetic Surgery Associates.
Patient Testimonials
Dr.Richards and his whole staff is amazing! The whole process was very smooth and they made me feel very comfortable throughout my whole journey. I’m so happy with my results. I’m now 20 days post op and Im super pleased with my results. It gets better with each day. His nurse Tiffany made me very comfortable. On my operation day I was so nervous but it was a breeze. I will definitely be coming back to him to get a breast augmentation in a few months! Such a wonderful place and a wonderful surgeon.
Dr Richards is one of the best and kindest surgeons around. Not only does he do great work but he cares about his work and he cares about his patients. I’ve had numerous procedures done by him and anything else I get done it will definitely be by him. I recommend him 100%. He has done a mini facelift for me, a tummy tuck, a breast lift, a mini file left, liposuction of the outer thighs, liposuction of the flanks, and An arm left. I have been happy with everything.
I did a lot of research before making a consultation and decided to see Dr. Richards first. After the initial visit I had no doubt in my mind I chose the right person. I am only a week post op of my tummy tuck and lipo surgery but I am already excited about the results so far. I'd recommend him to anyone!
Procedures Performed
Arm Lift
Botulinum Toxin
Breast Augmentation
Breast Implant Removal
Breast Lift
Breast Reduction
Brow Lift
Buttock Lift with Augmentation
Cosmetic Surgery & Computer Imaging
Dermal Fillers
Ear Surgery
Endoscopic Technique
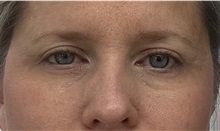
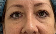
Eyelid Surgery
Facelift
Facial Implants
Laser Skin Resurfacing
Lip Augmentation/Enhancement
Liposuction
Male Breast Reduction
Male Chest Implants
Microdermabrasion
Retin-A Treatments
Rhinoplasty
Thigh Lift
Tummy Tuck
Before and after patient photos from Dr. Franklin Richards. Use the menu to filter by procedure.


Eyelid Surgery


Liposuction


Breast Implant Revision


Facelift


Breast Reduction


Breast Lift


Brow Lift


Arm Lift


Breast Augmentation


Laser Skin Resurfacing
Payment Options
- Cash or Personal Checks
Our Location
Our Specials
Dr. Franklin Richards provides public specials.
NaturalLift Facelift
Naturlift facelift that is performed in our certified O.R. under sedation - $18,500.
Expires: 1/1/2028Patient Testimonials
Dr.Richards and his whole staff is amazing! The whole process was very smooth and they made me feel very comfortable throughout my whole journey. I’m so happy with my results. I’m now 20 days post op and Im super pleased with my results. It gets better with each day. His nurse Tiffany made me very comfortable. On my operation day I was so nervous but it was a breeze. I will definitely be coming back to him to get a breast augmentation in a few months! Such a wonderful place and a wonderful surgeon.
Dr Richards is one of the best and kindest surgeons around. Not only does he do great work but he cares about his work and he cares about his patients. I’ve had numerous procedures done by him and anything else I get done it will definitely be by him. I recommend him 100%. He has done a mini facelift for me, a tummy tuck, a breast lift, a mini file left, liposuction of the outer thighs, liposuction of the flanks, and An arm left. I have been happy with everything.
I did a lot of research before making a consultation and decided to see Dr. Richards first. After the initial visit I had no doubt in my mind I chose the right person. I am only a week post op of my tummy tuck and lipo surgery but I am already excited about the results so far. I'd recommend him to anyone!
I had a mini lift with Dr. Richards and I am so pleased with my results. He listened to what I wanted to achieve and answered all of my many questions. He is a very skilled surgeon and his office and staff are the best. From the front office staff to Joanne, his patient coordinator, I felt very comfortable with everyone. The procedure itself took a little over 3 hours and my recovery was uneventful. I had some bruising and swelling which was expected and everything resolved itself faster than I thought. I can barely see any scars and it has only been a couple of months. I am so excited with my results and would highly recommend Dr. Richards for any cosmetic surgery procedure. You will be in good hands!
Dr. Richards was great! It's now only three months after the procedure (inner knee and inner thigh liposuction), and I am very pleased with the results. Healing progressed, I would say, smoother than anticipated. The procedure has had an enormously positive impact on me. I highly and gladly recommend Dr. Richards.
Dr. Richards and the CSA team was simply the best. I was so nervous and worried about starting the process of a breast augmentation and the entire team at CSA made me feel at ease with no pressure at all. They guided me when choosing how many CC's fit my body best and made the process so seamless from start to finish. I left my first consultation feeling confident in my decision and the team who would perform the procedure. Recovery was quick and easy with quick access to your nurse 24/7. Now, 3 months post off I couldn't be happier with my results. My close friends and family all comment on how natural they feel and appear. I can't say enough good things about Dr. Richards and the CSA team!
I came to Dr. Richards after losing half my body weight and getting hit by menopause. I finally wanted to get rid of all the loose skin I had, so went to a few consultations. I chose Dr.Richards and I cannot say enough about how amazing his work is. He not only topped my expectations but he surpassed them. He was never pushy and gave me all the information I needed regarding what I was looking to have done and what the results would be depending on what I chose. The entire office staff is not only friendly, they are courteous, caring and knowledgeable. They are accessible and will answer all questions. Dr. Richards's bedside manner is outstanding and I am so pleased with my results that I will be taking my daughter to have a procedure done with him. So if you are looking for a surgeon, HE IS YOUR MAN!!!
My experience with Dr. Richards and Cosmetic Surgery Associates was simply perfect. Even in this era of COVID, it is a welcoming, yet safe environment. The surgery facility is state of the art. I can't say enough about Dr. Richards-- he is a gifted surgeon. He performed an S-Lift (Lower facelift) procedure and a brow lift. I am 3 weeks post surgery, and so far, I am absolutely thrilled with the results! He also corrected some bad scarring that I had from a previous procedure in 2010. This is not my first experience, and Dr. Richards far exceeded my expectation