American Society of
Plastic Surgeons
Home
Cosmetic
Reconstructive
Before & After Photos
Find a Surgeon
Patient Safety
News
Patients of Courage
About ASPS
Foundation
Menu
More
Community Home
ask a surgeon
patient community
Ask a Surgeon
Patient Community
Post your question to Ask a Surgeon to get an authoritative and trustworthy answer from our ASPS member surgeons or share your journey with other people just like you on the Patient Community. The views expressed in Ask a Surgeon and the Patient Community are those of the participants and do not necessarily reflect the opinions of the American Society of Plastic Surgeons
Share your journey with other people just like you on the Patient Community or post your question to Ask a Surgeon to get an authoritative and trustworthy answer from our ASPS member surgeons. The views expressed in Ask a Surgeon and the Patient Community are those of the participants and do not necessarily reflect the opinions of the American Society of Plastic Surgeons.
Post your question to Ask a Surgeon to get an authoritative and trustworthy answer from our ASPS member surgeons
or share your journey with other people just like you on the Patient Community. The views expressed in Ask a Surgeon and the Patient Community are those of the participants and do not necessarily reflect the opinions of the American Society of Plastic Surgeons.
Share your journey with other people just like you on the Patient Community
or post your question to Ask a Surgeon to get an authoritative and trustworthy answer from our ASPS member surgeons. The views expressed in Ask a Surgeon and the Patient Community are those of the participants and do not necessarily reflect the opinions of the American Society of Plastic Surgeons.
Account
Account Dashboard
Log In
Log In
For Medical Professionals
My Account
Log Out
Home
Cosmetic
Reconstructive
Before & After Photos
Find a Surgeon
Patient Safety
News
Patients of Courage
About ASPS
Foundation
Log Out
For Medical Professionals
My Account
Join ASPS
Shop
Education
Publications
Community
Registries
Advocacy
Quality
Health Policy
Resources
Additional Resources
Corporate Opportunities
Contact
ASPS EdNet
PRS
PRS GO
WPS
YPS
GRAFT
NBIR
PROFILE
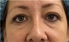
Eyelid Surgery
More about the Eyelid Surgery procedure
Keshav Magge, MD
,
Steve Laverson, MD, FACS
,
Neal Goldberg, MD
,
Kristoffer Ning Chang, MD
San Francisco, CA
Joseph Fodero, MD
,
Keshav Magge, MD
,
Keshav Magge, MD
,
Steve Laverson, MD, FACS
,
Munique Maia, MD
Tysons Corner, VA
Scott Miller, MD
,
Previous
...
10
11
12
...
Next
Filter By Procedure
Arm Lift
Body Contouring
Body Lift
Botulinum Toxin
Breast Augmentation
Breast Implant Removal & Exchange
Breast Lift
Breast Reconstruction
Breast Reduction
Brow Lift
Buttock Lift with Augmentation
Chin Augmentation
Cleft Lip and Cleft Palate Repair
Craniosynostosis Surgery
Dermal Fillers
Ear Surgery
Eyelid Surgery
Facelift
Gynecomastia Surgery
Hair Transplant
Liposuction
Mommy Makeover
Rhinoplasty
Thigh Lift
Tummy Tuck
Patient Care Center
Before
& After
Photos
View Photo Gallery
Video
Gallery
View Video Gallery
3D
Animations
View 3D Animations
Patient
Safety
View Patient Safety